【インプラント症例】|60代女性 インプラント埋入術
みなさんこんにちは!お口の健康から全身の健康を創造する医療法人ユナイテッド理事長上原亮です。
本日は具体的なインプラントのケースについてブログでご紹介します。
患者さんには掲載許可を得ております。
1. 患者さんのご紹介(主訴・お悩み)
今回の患者さんは、61歳(当時)の女性です。お綺麗な方ですが、どこか疲れたような顔をされていていました。
患者さんの切実なお悩みは、「他院で歯を抜いた後、食事が満足にできず、噛めない状態が続いている」ということでした。入れ歯も合わない、なんか一気に老けた感じがしたとおっしゃってました。
奥歯を失うと、食事の楽しみが半減するだけでなく、周囲の健康な歯にも過度な負担がかかり、お口全体の健康が連鎖的に崩れてしまいます。
少しお話を聞いてみた所、「半年前主人を亡くしました。つらかった…。本当に。でもこのままではいけない。私、歯をきれいに治したいんです。しっかり咬んで、まだまだやらないとね」
という強い決意をお持ちでした。
私たちは、その想いに応えるべく、機能面(しっかり噛めること)と審美面(自然で美しい見た目)の両立を目指した全顎的な治療を計画しました。
2. ご来院時の状態と診断
初診時の精密検査の結果、以下の診断を下しました。
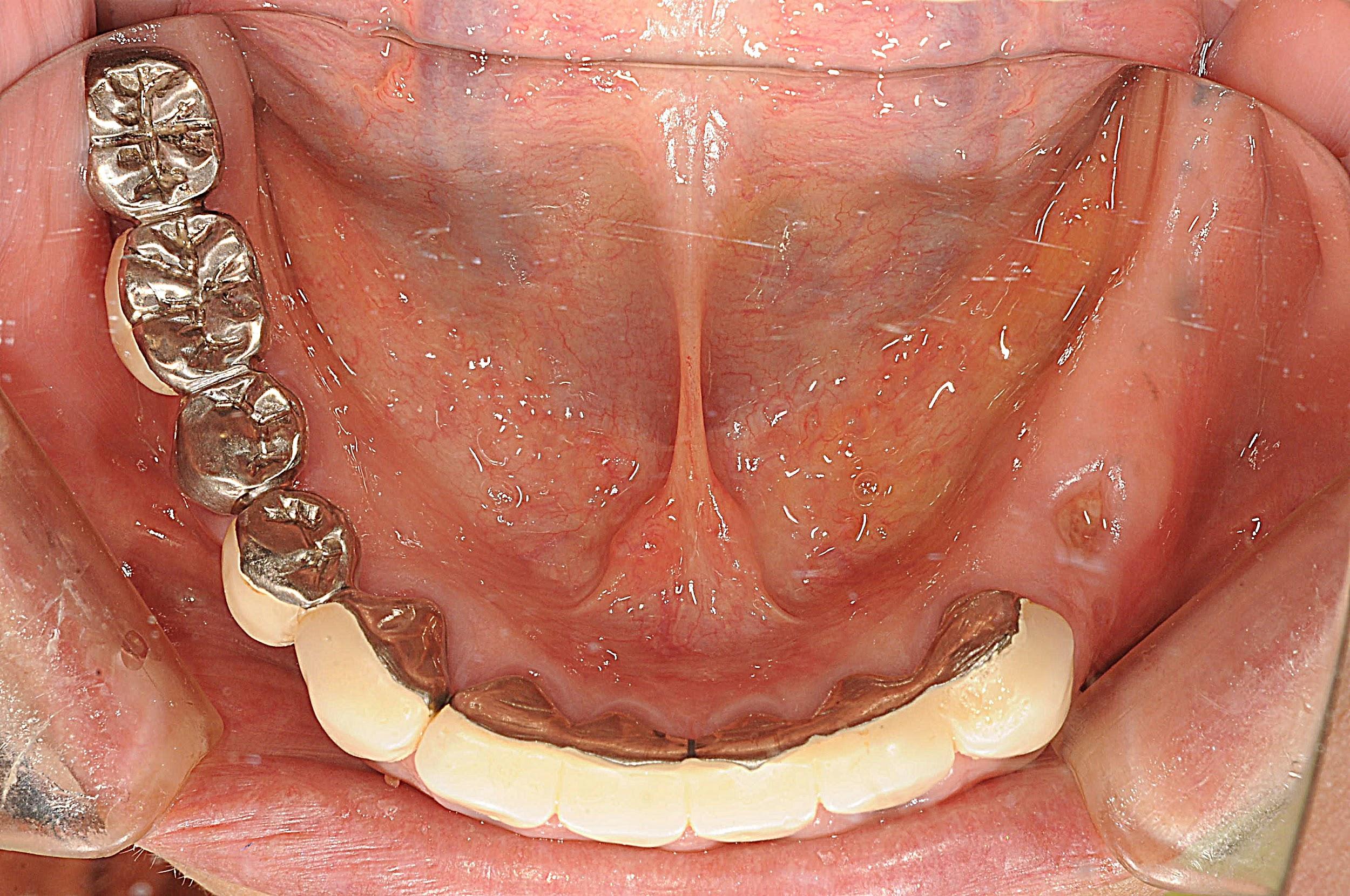
・広範な歯の欠損と歯周炎: すでに多くの歯を失っている箇所(欠損)に加え、残っている歯も中等度以上の歯周炎が認められました。 ・咬合(噛み合わせ)の崩壊: 歯を失ったまま放置されていた期間があったため、噛み合わせの支えが失われ、お口全体のバランスが大きく崩れている状態でした。
当院では、院長をはじめ医師がこれまでに国内外で学んできた知見をもとに、画像データなどを活用した診断を行っています。治療にあたっては、一人ひとりの骨の状態や周囲の構造に配慮し、事前の検査結果を踏まえた慎重な計画を心がけています。

歯周病菌によって歯を支える骨(歯槽骨)が溶けてしまう病気です。インプラント治療において、周囲に炎症があると「インプラント周囲炎」を引き起こし、せっかく入れたインプラントが脱落するリスクが高まるため、事前の歯周病治療と生活習慣の改善が不可欠です。
3. 治療計画
患者さんの「スピーディーに、かつ確実に治したい」というご要望と、将来的な安定性を両立させるため、以下の包括的なプランを立案しました。
1. 禁煙の徹底
タバコはインプラントの定着を著しく阻害するため、治療開始にあたって完全に断っていただきました。
2. コンピューターシミュレーションの活用
先進のCTデータと専用ソフトを駆使し、0.3mm単位で埋入位置を決定します。
3. インプラント埋入(計7本)と骨造成
欠損部分へインプラントを配置。骨が不足している箇所には、骨を作る材料(骨造成)を使用し、強固な土台を作ります。
4. ワンデイ・インプラント(即時荷重法)
手術当日中に仮歯を装着し、その日から噛める状態を作ります。
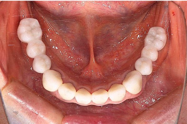
5. ジルコニア補綴による審美修復
前歯を含めた最終的な被せ物には、歯科用セラミックの中でも極めて強度と美しさを持つジルコニアを採用します。
歯科用CTとコンピューターソフトで得られたデータを分析し、インプラントを埋め込む理想的な角度や深さを反映させて作る「マウスピース型の手術補助器具」です。これを使用することで、より手術時の負担や誤差に配慮した治療が期待できます。
4. 治療時
本症例において最も重要なポイントは、当院の強みである「ワンデイ・インプラント(即時荷重法)」の実施です。
コンピューター技術による低侵襲な施術
事前のシミュレーションに基づき作成した「ガイド」を用いることで、手術時間を短縮しました。これは患者さんの身体的負担を軽減するだけでなく、手術の精度をより高めることにつながります。
「その日から噛める」という価値
通常、インプラントは骨と結合するまで数ヶ月の待機期間が必要ですが、当院では一定の基準を満たした場合、手術当日に人工の歯(仮歯)を固定する「即時荷重法」を行っています。 患者さんは、手術を終えたその足でご帰宅され、その日の夜からお食事を楽しむことができました。仮歯の装着により「歯がない状態」を避けることができます。
インプラントを埋入した当日に、仮の歯を装着して噛めるようにする手法です。高度な技術と、インプラントが骨としっかり固定されるための精密な診断が必要となります。
5. 治療後・予後
患者さんは「白くしたい」とおっしゃったので、歯の色はA1というかなり白い色をベースにしました。
治療前はややお疲れ気味だったお顔も、治療後は鮮やかなお顔に戻られ、若々しくなられ、服装も変わられました。
やや涙ぐんで「ありがとうねー」とおっしゃったことは、今でも鮮明に覚えています。いい仕事ができたときってとても
治療終了から現在で7年が経過していますが、インプラントおよび周囲の組織の状態は極めて良好です。
先月メンテナンスにこられた時、にこやかに「先生!~」とおっしゃってくださったのはとても嬉しかった!
歯科医師冥利に尽きますね。
当院の強み:長期的な安定を支えるアフターフォロー
患者さんは現在も、当院独自の「メンテナンスプログラム」に欠かさず通ってくださっています。当院では唾液検査やDNA検査などを活用し、患者さん一人ひとりの細菌リスクに合わせたオーダーメイドのクリーニングを提供しています。

治療のポイントとまとめ
本症例の成功は、院長が長年国内外で培ってきた「インプラント埋入技術」と「先進のデジタル設備」を融合させたことにあります。 「他院で抜歯を宣告された」「インプラントをしたいが長期間歯がないのは困る」というお悩みに対し、当院のワンデイ・インプラントは一つの明確な解決策となります。
・治療内容: インプラント埋入(7本)、ジルコニア補綴、骨造成(GBR) ・治療期間: 約1年9か月(術後の安定確認期間含む) ・費用: 約450万円(税込) ・リスク・副作用: インプラントは外科手術を伴うため、術後に一時的な腫れ、痛み、内出血が生じる場合があります。また、喫煙の再開や毎日のセルフケアの怠慢は「インプラント周囲炎」を招き、最悪の場合インプラントが脱落する可能性があります。長期的な安定には、プロによる定期的なメンテナンスが必須です。
患者さんのお言葉「高かったけど、やってよかった。」と社交的に新しく人生を歩まれてます。
うえはら歯科HP
うえはら歯科ではWEB予約を承っております
下記をクリック↓
うえはら歯科WEB予約
またうえはら歯科では予防医療をお手伝いしてくれる歯科衛生士を募集しております。現在8名の衛生士が在籍しております。
衛生士の仕事を探しておられる既卒の衛生士さん、今衛生士学校の学生で将来衛生士になられる学生さん
まずは見学からいかがですか?
うえはら歯科就職サイト
きょうもご覧いただきありがとうございました!
監修:うえはら歯科呉総合歯科矯正歯科
院長 上原 亮
<出身大学>
広島大学歯学部
ジョージア医科大学
<所属学会・取得資格>
広島大学歯学部非常勤講師
日本口腔インプラント学会指定研修施設臨床器材研究所インプラント 講師
AICオステムインプラント インストラクター
インビザラインプラチナプロバイダー
日本臨床歯周病学会会員
訪問歯科協会 認定医
老年歯科学会 会員
CADCAM学会 会員
国際歯周内科学研究会 会員
MID-G 会員