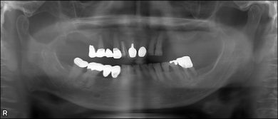
インプラント症例 術後18年 上顎無歯顎 オペ時72歳 現在90歳 上顎オールオン6
18年前の記憶がよみがえった瞬間
「どこかで見たお名前だな…」
急患でメンテナンス希望の予約電話を受けたとき、受付スタッフからその名前を聞いて、私はふとそんな感覚を覚えました。
当日のレントゲンを見た瞬間、その記憶は鮮明に蘇りました。
18年前に私がインプラント治療を担当させていただいた患者さんだったのです。
その方は現在90歳。長い年月を経て再び当院に来院してくださいました。
みなさんこんにちは!お口の健康から全身の健康を創造する医療ユナイテッドの上原亮です。
本日はまさしく、お口の健康から全身の健康にお役に立てたのではないかと思われたことがあったのでブログにしました。
「なんでも咬める」その言葉の重み
診療チェアに座られたその方は、開口一番こうおっしゃいました。
「先生、なんでも咬めるんよ」
その言葉を聞いた瞬間、胸が熱くなりました。
インプラント治療は単に失われた歯を補うだけでなく、患者さんの生活の質(QOL)や健康寿命を支える大切な治療です。
「90歳になっても好きなものを食べられる」
その現実を目の前にして、歯科医師としてこれ以上の喜びはありません。
掲載許可を得ているので症例を紹介します。
72歳女性 主訴 前歯が動いて咬めない。

パノラマレントゲンから、上の歯は前歯6本、右上小臼歯1本残存してますが、動揺度は2~3度。ほぼ3度。左上の部分床義歯は不安定でした。

18年前ですので、サージカルガイドの精度はイマイチで、右上の臼歯部は造骨処置(いわゆるサイナスリフト)を行いました。
テンポラリーインプラントを用いながら、歯が無い日をほぼなくし、患者さんが困らないように、仮歯を入れて少しは咬める環境を作りました。


インプラントが骨と安定してくっつくことをオッセオインテグレーションと言います。
3~6ヵ月オッセオインテグレーションは時間がかかります。(最近のインプラントはもっと早くなっています)
この方は術後10カ月で治療が完了しました。歯周病予防処置とあわせて計18回のご来院です。インプラント治療に関しては、10回です。
インプラント6本 サイナスリフト2ヵ所 オールオン6 仮歯 総費用約350万
リスクとしては上顎洞の粘膜破損やインプラントの落下、腫れ、治癒不全ですが、十分」説明したのちに治療を進めてきました。
その後インプラントは定期検診やクリーニングが必要で、定期クリーニング定期咬合チェック(かみ合わせチェック)することを条件に保証してます。
しかしこの方はお見えになりませんでした。ですからかなり心配してました。いろんな意味で・・・。
ですから、18年ぶりに来ていただいたことは非常に嬉しかったです。

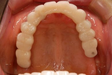
術後18年 下顎臼歯は当初から使えるまで使ってインプラントにしようと話してましたが、今もなんでも咬めるということですので、90歳の今このまま使っていただいています。今後次の治療になる時は、訪問診療ですね。

18年後の補綴。クラシカルですが、十分機能しています。
当院のインプラントサイト
↑
インプラントと健康寿命
近年「健康寿命」という言葉が広く知られるようになりました。
単に長生きするだけでなく、自分の力で生活を楽しめる期間をいかに延ばすかが問われています。
咬む力は、その健康寿命を大きく左右します。
しっかり咬むことで栄養が摂れる
脳の血流や認知機能の維持につながる
表情筋や姿勢の安定にも影響する
つまり、インプラントが患者さんの健康寿命を18年以上支え続けてきた可能性があるのです。
90歳でも自力で来院されたことの意味
今回の患者さんは、すでに免許返納され車の運転はできません。
それでも、遠い場所からバスに乗って当院まで来てくださいました。
「ここで診てもらいたい」
そのお気持ちが伝わってきて、本当にありがたいことです。
歯科医師として、そして一人の人間として、患者さんとのご縁が18年もの時を経て再びつながる――これは大きな励みになります。
訪問診療のご案内
診療の合間に、当院の訪問診療サービスについてもご紹介しました。
もし今後バスでの通院が難しくなっても、私たちがご自宅や施設に伺い、口腔ケアやインプラントのチェックを続けていくことができます。
当院は17年以上前から訪問診療に取り組んでおり、
摂食嚥下のサポート
義歯やインプラントの調整
定期的な口腔清掃
を通じて、**「最期まで診る」**という姿勢を大切にしています。
歯科医師病? レントゲンで蘇る記憶
歯科医師ならではの“あるある”ですが、名前では思い出せなくても、レントゲンを見れば当時の治療の記憶が一瞬で蘇ることがあります。
今回もまさにそうでした。
18年前に埋入したインプラントの形、位置、周囲の骨の状態を見た瞬間に、当時のオペ室の空気感まで思い出したのです。
「歯科医師病」とでも言うべきでしょうか。
でも、こうして患者さんが笑顔で戻ってきてくださることが、私にとっての最高のご褒美です。
最期まで診る、その変わらぬ想い
歯科医療の技術や器材は日々進化しています。
しかし私たちが大切にしている理念は変わりません。
「最期まで診る」
これは当院の変わらぬ信念です。
18年前のインプラント治療が今なお機能し、90歳の患者さんが「なんでも咬める」と笑顔で語ってくださる。
その姿が、これからの私たちの訪問診療や地域医療の大切さを改めて教えてくれました。
まとめ
18年前のインプラント患者さんが90歳で再来院
「なんでも咬める」という言葉が健康寿命を物語る
車の運転はできなくても、バスで来院してくださる感謝
今後は訪問診療で「最期まで診る」ことをお約束
患者さんの人生に寄り添い、最後までお口の健康を守る。
これこそが、歯科医師としての使命であり、当院の誇りです。
インプラントページ
ホワイトニングページ
訪問診療ページ
うえはら歯科ではWEB予約を承っております
下記をクリック↓
うえはら歯科WEB予約
またうえはら歯科では予防医療をお手伝いしてくれる歯科衛生士を募集しております。現在8名の衛生士が在籍しております。
衛生士の仕事を探しておられる既卒の衛生士さん、今衛生士学校の学生で将来衛生士になられる学生さん
まずは見学からいかがですか?
うえはら歯科就職サイト
きょうもご覧いただきありがとうございました!